Cell:林尤舜/林鸿宣/李亦学合作揭示脂质重塑与核信号级联介导的植物热感知机制
2025年12月,中国科学院分子植物科学卓越创新中心、上海交通大学、广州国家实验室等单位的相关研究人员在《Cell》(IF: 45.5)上发表了题为“A stepwise decoding mechanism for heat sensing in plants connects lipid remodeling to a nuclear signaling cascade”的研究论文,揭示了植物感知高温的完整层级解码机制,阐明细胞膜脂质重塑如何将物理热信号转化为核内下游信号,为培育定制化耐热作物提供了可能,有助于缓解全球变暖导致的作物减产问题。

亮点概述:
- 二酰甘油激酶7(DGK7)作为热信号转导的首个关键分子,将物理热信号转化为 磷脂酸(PA)脂质信号。
- G蛋白TT2通过抑制DGK7的Ser⁴⁷⁷磷酸化,抑制PA生成。
- 金属依赖性磷酸二酯酶1(MdPDE1)感知PA后定位于细胞核,水解环腺苷酸(cAMP)以启动生物热响应。
- 基于TT2-DGK7-MdPDE1模块的分子设计,可培育定制化耐热作物。
研究背景:
全球气候变暖导致的极端高温已成为威胁作物产量的关键环境胁迫。高温会破坏植物细胞结构(如脂质双层完整性)、积累有害代谢物,最终导致减产。植物响应热胁迫的显著特征是细胞膜脂质组成和物理性质的重塑,但这种脂质变化是否参与热信号感知、物理信号如何解码为生物信号,仍有待阐明。
PA作为关键的脂质第二信使,在热胁迫下快速积累,其生成主要依赖两条路径:二酰甘油激酶(DGK)催化二酰甘油(DAG)磷酸化,以及磷脂酶D(PLD)介导的膜磷脂水解。PLD衍生的 PA 在热信号从细胞膜向细胞核的转导中已有明确作用,但DGK在热信号转导中的功能及调控网络尚未被深入探索。此外,异源三聚体G蛋白已被证实参与植物生长和胁迫响应,其中Gγ亚基TT2负调控水稻耐热性,但G蛋白信号与脂质介导的热响应机制如何整合仍不清楚。环腺苷酸(cAMP)作为保守的细胞内第二信使,其在植物热响应中的作用及调控机制也待解析。
因此,解析G蛋白信号、脂质信号与cAMP信号在热感知中的协同作用,明确热信号从细胞膜到细胞核的转导路径,对理解植物热适应机制及培育耐热作物具有重要意义。
研究团队首先通过多组学分析筛选热响应脂质信号关键调控因子。对热敏感籼稻品种华粳籼(HJX)和耐热近等基因系NIL-TT2HPS32(HJX 背景中TT2功能缺失)进行时序转录组分析,筛选出479个热胁迫下快速响应且恢复阶段下调的基因;对比两者热响应差异基因的KEGG富集分析,发现43个脂质代谢相关基因,其中4个基因与上述479个基因重叠,包括编码DGK7的 Os01g0783200。脂质组学分析显示,热胁迫下DAG(36:3 和 36:2)是差异最显著的脂质代谢物,且DGK7以DAG为底物,提示其可能作为连接 TT2介导的G蛋白信号与脂质调控的关键分子。
进一步验证DGK7的功能:在ZH11(粳稻)和HJX背景中构建DGK7敲除株系,其在热胁迫下存活率显著降低;而HJX背景的DGK7过表达株系耐热性增强;DGK抑制剂处理会剂量依赖性降低HJX的耐热性,证实DGK7正向调控水稻耐热性。遗传互作分析显示,DGK7作用于TT2下游:NIL- TT2HPS32中敲除DGK7会丧失耐热性,过表达DGK7则进一步增强耐热性;而共表达TT2可抑制DGK7的耐热增强效应。

综合分析揭示了DGK7在热应激反应中的脂质代谢中的核心作用
亚细胞定位和互作分析表明,DGK7定位于细胞膜,与TT2、Gβ亚基RGB1直接相互作用。双分子荧光互补(BiFC)、分裂荧光素酶互补(SFLC)及免疫共沉淀(CoIP)实验证实,DGK7与TT2、RGB1 在细胞膜上形成复合物,热胁迫不影响三者的相互作用。重组 DGK7 蛋白的体外激酶活性分析显示,DGK7可消耗ATP将DAG转化为PA。对水稻脂质动态的分析表明,DGK7过表达株系的DAG含量显著降低、PA含量显著升高,而同时过表达TT2和DGK7的株系的DAG和PA含量与野生型无显著差异,表明 TT2负调控DGK7介导的PA生成。
磷酸化修饰分析发现,DGK7 的 Ser⁴⁷⁷位点磷酸化是其活性关键:Ser⁴⁷⁷突变为磷酸化缺陷型(DGK7S477A)会抑制PA生成,而磷酸化模拟型(DGK7S477D)则增强 PA 积累。TT2通过促进DGK7去磷酸化抑制其活性:Phos-tag 凝胶电泳显示,TT2过表达显著降低DGK7的磷酸化水平,且热胁迫不影响该去磷酸化过程。此外,热胁迫下非特异性磷脂酶C(NPC)基因上调,导致细胞膜磷脂(PC、PE、PS 等)水解生成 DAG,为DGK7提供充足底物。

TT2通过Ser477的去磷酸化抑制DGK7激酶活性
RNA-seq分析显示,DGK7过表达株系中与cAMP响应相关的基因(CRGs)显著富集,且多数富集基因为cAMP下调基因,表明DGK7驱动的转录响应与cAMP触发的响应相反。酶联免疫吸附试验(ELISA)显示,DGK7敲除株系的内源性cAMP含量显著高于野生型,证实DGK7在水稻中负调控cAMP浓度.尽管DGK7无磷酸二酯酶(PDE)基序,且体外试验显示其不能将cAMP水解为AMP,提示DGK7可能通过其他途径调控cAMP信号。
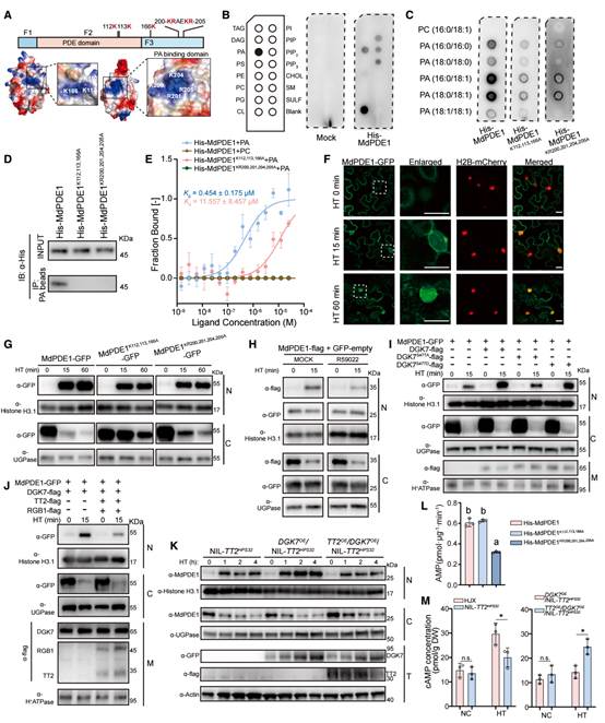
为了探究DGK7与cAMP减少之间的联系,研究人员筛选出同时具有PDE活性和PA结合基序的金属依赖性PDE——MdPDE1。体外试验显示,重组MdPDE1具有PDE活性,可依赖Mg²⁺和Mn²⁺将cAMP水解为 AMP。体内试验显示,MdPDE1敲除株系的cAMP含量升高、耐热性降低,而过表达株系的cAMP含量降低、耐热性增强,证实MdPDE1通过水解cAMP赋予水稻耐热性。

MdPDE1具有PDE活性,赋予水稻耐热性
同源建模和蛋白脂质overlay分析(PLO)显示,MdPDE1含有两个潜在的PA结合基序(KK-K结构域和KR-KR基序),且可与PA特异性结合。pull-down试验和微量热泳动(MST)分析证实,这两个基序均参与PA结合。PA结合不仅激活MdPDE1的cAMP 水解活性(KR-KR 基序突变显著降低酶活性),还介导其核转运:热胁迫15分钟内,MdPDE1从细胞质转运至细胞核,而PA结合缺陷突变体则无法核定位。此外,DGK抑制剂处理会阻断MdPDE1的核转运,而DGK7过表达或磷酸模拟突变体可促进MdPDE1核转运,磷酸缺陷突变体则无此效果,表明DGK7的Ser⁴⁷⁷磷酸化对MdPDE1核转运至关重要。而TT2可抑制DGK7促进的MdPDE1核转运,这些数据表明,TT2通过限制DGK7驱动的PA产生来调节MdPDE1的定位。
MdPDE1敲除株系的RNA-seq分析显示,下调DEGs显著富集于氧化还原反应相关通路(如谷胱甘肽代谢过程、过氧化氢响应)。敲除株系中氧化还原调控、活性氧(ROS)响应和热休克相关基因的表达显著改变。实时定量 PCR 和免疫印迹分析证实,敲除株系中热应激相关的氧化还原调控因子和热休克蛋白(Hsps)的表达和蛋白积累受到抑制,ROS积累更多,丙二醛(MDA,脂质过氧化标志物)含量升高。而过表达株系的ROS积累更少,MDA含量降低,表明MdPDE1通过抑制cAMP 信号,维持细胞氧化还原平衡,赋予水稻耐热性。

PA结合是MdPDE1活性和核转位所必需的
最后的田间试验显示,正常条件下,DGK7或MdPDE1过表达株系的植物形态和产量与野生型无显著差异;而在31天热胁迫处理后,DGK7过表达株系的结实率、千粒重和单株产量显著提高,MdPDE1过表达株系的单株/小区产量也显著提升。此外,热应激下,DGK7和MdPDE1过表达株系的花粉活力更高、籽粒垩白度更低,表明它们在雄配子体和胚乳发育中具有保护作用。这些结果表明,该信号模块在分子育种中具有巨大潜力,可在不影响正常条件下产量的前提下增强作物耐热性。
总之,该研究的发现不仅填补了植物热信号从细胞膜到细胞核转导的分子空白,还建立了G蛋白信号、脂质信号与cAMP信号的交叉调控网络。基于该模块的分子设计可定制不同耐热程度的作物,田间试验证实其在水稻育种中的应用价值,为应对全球变暖导致的作物减产提供了新的分子工具。

