Nature Communications:线虫新发现:调控脂质摄入,改变线粒体突变体的生存缺陷
饮食脂质含量通过调控秀丽隐杆线虫LRK-1与DRP-1的表达,调控wah-1/AIFM1相关表型
2025年12月,德国退行性疾病研究中心(DZNE)等单位的研究人员在《Nature Communications》(IF:15.7)上发表了题为“Dietary lipid content modifies wah-1/AIFM1-associated phenotypes via LRK-1 and DRP-1 expression in C. elegans”的研究论文,揭示营养(尤其是脂类摄入)或可改善与破坏线粒体生物能量学功能遗传性突变相关的某些疾病表型的新发现。

亮点概述:
- 明确饮食脂质含量可独立调控线粒体功能缺陷突变体的存活,且存在“高脂保护 - 低脂损伤”的双向效应。
- 揭示LRK-1 - DRP-1线性通路为低脂饮食加剧突变体表型的核心机制,明确干预靶点。
- 建立“饮食 - 基因型 - 线粒体表型”关联,为人类线粒体疾病的营养干预提供实验依据。
研究背景:
线粒体活性影响多种细胞过程,遗传性或环境因素导致的线粒体损伤,可能会增加高能量需求细胞类型(如神经元、肌肉细胞)的脆弱性,进而引发一系列疾病。编码线粒体凋亡诱导因子1(AIFM1,以下简称AIF)是一种膜结合的氧化还原酶,参与电子传递链(ETC)的生物发生和氧化磷酸化(OXPHOS)过程。多种罕见的遗传性线粒体疾病被证实与AIFM1基因突变相关。
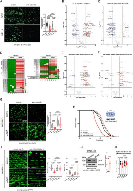
此前研究将野生型(wt)秀丽隐杆线虫饲养在大肠杆菌HT115菌株上,发现 wah-1(秀丽隐杆线虫中人类AIFM1的同源基因)表达下调会抑制线粒体呼吸并缩短线虫寿命。然而,当使用表达双链RNA(dsRNA)的OP50菌株(而非HT115菌株)下调wah-1时,尽管线粒体OXPHOS同样受到影响,线虫寿命却延长而非缩短。因此研究人员推测:在携带致病性AIF变异体、且遗传背景可控的模式生物中,营养状态可能会影响病理进程,进而明确饮食来源的代谢物在疾病病因中的最终作用。
研究人员通过基因编辑构建了可存活的wah-1低活性秀丽隐杆线虫品系,对其进行表型观察与蛋白质组学分析,发现wah-1低活性线虫表现出的分子特征,与人类AIFM1突变患者及AIFM1缺陷小鼠中观察到的特征相似。为验证不同细菌饮食是否会影响WAH-1蛋白的稳定性和/或表达水平,研究人员采用了OP50和HT115两种细菌菌株为线虫提供营养,包括不同比例的脂质、糖类及其他有机化合物,并通过靶向质谱分析检测了两种WAH-1特异性肽段。结果显示,WAH-1蛋白水平在不同饮食组间无显著差异。两种细菌饮食都激活wah-1突变线虫的线粒体未折叠蛋白反应(UPRmt),且饲养于OP50细菌时的UPRmt上调幅度显著高于饲养于HT115细菌的情况。对比两种细菌饮食下wah-1突变线虫的蛋白质组变化,研究人员发现多个线粒体蛋白的表达存在差异调控,包括一些已知的线粒体膜重塑调控因子DRP-1、STL-1、CHCH-3和ATAD-3。

不同细菌菌株对wah-1突变体应激反应的差异性影响
由于储存脂质在秀丽隐杆线虫肠道中尤为丰富,研究人员利用荧光标记检测脂滴。与野生型(wt)线虫相比,wah-1突变体中的脂滴数量更少。研究人员采用基于质谱的脂质组学分析发现,与饲养于HT115细菌的wah-1突变体相比,饲养于OP50细菌的wah-1突变体含有更多三酰甘油(TAGs),而磷脂酰胆碱(PCs)含量显著更低。补充单一单不饱和脂肪酸并不能挽救wah-1突变体的寿命缩短表型,于是研究人员采用大肠杆菌K-12 ΔdgkA进行饲养(该菌株的二酰甘油激酶突变会抑制二酰甘油(DAGs)向磷脂酸(PA)的转化,并促进TAGs的积累),以补充复杂的脂质混合物。发现饲养于大肠杆菌K-12 ΔdgkA上的wah-1突变体,其TAGs含量高于对照组,且表现出线粒体网络更趋向融合、荧光表达降低及寿命延长的表型,其胞质ATP水平高于对照组。综上表明,富含TAGs的饮食可改变与wah-1低活性突变相关的分子特征及表型。

细菌菌株对wah-1突变体线虫的储存脂质具有差异性影响
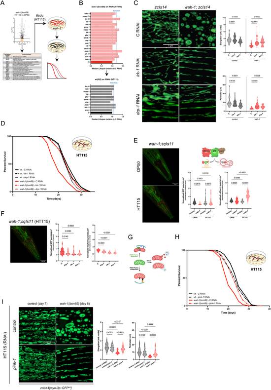
当wah-1突变体线虫饲养于不同菌株时,多种线粒体蛋白,以及参与脂质代谢、脂质转运、溶酶体通路和自噬通路的酶,其表达均存在差异调控。研究人员筛选出的4个表达上调的线粒体蛋白候选基因(LRK-1、DRP-1、ACO-2、MPPA-1)中,下调富含亮氨酸重复激酶LRK-1和动力相关蛋白DRP-1的表达,可促进wah-1突变体线虫的线粒体伸长。下调LRK-1和DRP-1的表达,可挽救饲养于HT115细菌菌株上的wah-1突变体线虫的寿命缩短表型。由于蛋白质组学数据显示出明显的溶酶体和自噬相关信号,研究人员对线虫自噬溶酶体进行了定量分析。结果显示,饲养于HT115细菌的wah-1突变体中,阳性自噬溶酶体数量比野生型更多,且单独对drp-1或lrk-1进行RNA干扰,均可抑制自噬活性。研究人员尝试验证PINK1/Parkin依赖的线粒体自噬的作用,结果数据表明,在低脂饮食条件下,wah-1低活性突变体线虫的自噬和线粒体自噬活性增强,这可能是导致其寿命缩短的原因之一。

LRK-1与DRP-1在wah-1低活性突变体中调控线粒体形态与自噬
为进一步阐明在HT115细菌饲养条件下LRK-1与DRP-1的相互作用,研究人员构建了wah-1;drp-1双突变体,发现drp-1功能缺失突变可挽救HT115细菌上wah-1突变体的寿命缩短表型。相反,在OP50细菌上,DRP-1过表达会对wah-1低活性突变体线虫产生负面影响。在HT115细菌饲养的wah-1突变体线虫中,DRP-1的上调表达可被lrk-1 RNA干扰抑制,这提示LRK-1可能作用于DRP-1的上游。研究人员通过基因编辑获得了两种lrk-1错义插入突变体,这些突变导致LRK-1功能缺失。寿命实验显示,在HT115细菌上,两种lrk-1突变均能促进wah-1突变体的寿命延长。此外,这两种lrk-1突变均不影响wah-1突变体中线粒体复合体I的功能。综上数据表明:LRK-1与DRP-1在同一条通路中发挥作用,它们的活性会影响饲养于不同饮食条件下的wah-1低活性突变体线虫的表型。

LRK-1 与 DRP-1 在同一条通路中发挥作用,调控wah-1突变体的寿命
综上,营养(尤其是脂类摄入)或可改善由会破坏线粒体生物能量学功能的遗传性突变引发的某些疾病表型。
