Cancer Communications:张万广等揭示AKT过度激活型肝内胆管癌的铁死亡及化学免疫治疗抵抗的新机制
辛伐他汀克服AKT过度激活的ICC中pPCK1-pLDHA-SPRINGlac轴介导的铁死亡和化学免疫治疗抵抗
2025年5月,华中科技大学同济医学院、苏州大学附属第一医院等单位的相关研究人员在《Cancer Communications》(IF:20.1)上发表了题为“Simvastatin overcomes the pPCK1-pLDHA-SPRINGlac axis-mediated ferroptosis and chemo-immunotherapy resistance in AKT-hyperactivated intrahepatic cholangiocarcinoma”的研究论文,确立了磷酸化磷酸烯醇式丙酮酸羧激酶1(pPCK1)作为识别肝内胆管癌(ICC)患者治疗耐药风险的潜在生物标志物,并为通过靶向甲羟戊酸(MVA)通路改善临床预后提供了理论依据。

亮点概述:
- 磷酸烯醇式丙酮酸羧激酶1(PCK1)是ICC中调节化疗免疫治疗(CIT)抗性的关键铁死亡调节因子,pPCK1使ICC对铁死亡存在抵抗。
- pPCK1介导的乳酸代谢- MVA代谢重编程驱动ICC对铁死亡的抵抗。
- 赖氨酸乙酰基转移酶7(KAT7)介导的SPRING K82乳酸化调节pPCK1-磷酸化乳酸脱氢酶A(pLDHA)轴介导的抗铁死亡效应。
- 抑制PCK1磷酸化或使用辛伐他汀可显著增强CIT疗效。
研究背景:
ICC是一种高度恶性的肿瘤,具有化疗耐药、免疫逃逸特性,且5年生存率低于20%。尽管联合吉西他滨、顺铂和度伐利尤单抗的化疗免疫治疗(CIT)方案取得一定疗效,但持续抵抗和低响应率表明迫切需要新的治疗策略。
ICC以有氧糖酵解和脂质代谢重编程为特征,这两者均与铁死亡密切相关,表明铁死亡可能在ICC的发生、进展及治疗抵抗中发挥关键作用。尽管化疗主要诱导肿瘤细胞凋亡,但凋亡本身无法完全解释联合化疗与免疫治疗时观察到的协同增敏效应。相反,化疗和免疫治疗诱导的免疫原性细胞死亡,如铁死亡和坏死性凋亡,越来越被认为是驱动这一效应的潜在机制。然而,铁死亡在ICC中的作用,特别是其与化疗和免疫治疗抵抗的关联,仍知之甚少。
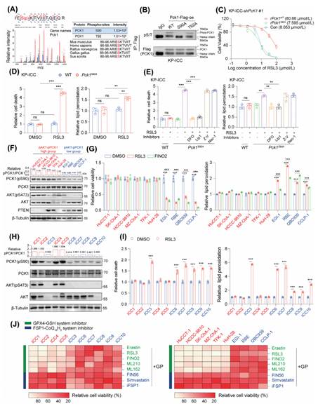
为了揭示CIT抵抗的代谢介质,研究人员使用针对2865个代谢基因的小鼠sgRNA文库在CIT压力下进行功能缺失筛选(体内CIT筛选)。转导的KP-ICC细胞(sgRNA覆盖度约为500倍)被移植到小鼠体内,并接受安慰剂、GP化疗(吉西他滨和顺铂)、抗PD-L1或CIT(GP + 抗PD-L1)治疗。两周后对肿瘤进行分析,并使用MAGeCK在不同治疗组中识别与抵抗相关的基因,发现PCK1在调节CIT和铁死亡抵抗方面发挥更显著的作用。在KP-ICC细胞中,其特征为磷脂酰肌醇3-激酶(PI3K)-蛋白激酶B (AKT)和KRAS激活的蛋白激酶信号通路过度活跃,研究人员假设PCK1通过其激酶活性促进CIT和铁死亡抵抗。为了评估这一点,免疫沉淀实验(IP-MS)证实S90是KP-ICC细胞中PCK1的主要磷酸化位点,表明在此背景下存在活性激酶形式的PCK1。后续实验表明,消除PCK1的S90磷酸化或敲低PCK1均增强了肿瘤细胞对铁死亡诱导剂RSL3的敏感性。这一效应可被铁死亡抑制剂(DFO和Lip1)逆转,但不受凋亡或坏死抑制剂影响,表明PCK1的蛋白激酶活性促进KP-ICC细胞对铁死亡的抵抗。

pPCK1在ICC中介导铁死亡抵抗的作用
为了阐明pPCK1介导的铁死亡抵抗的具体机制,研究人员评估了其对糖酵解和脂质合成的影响。结果发现,在高磷酸化AKT(pAKT)-pPCK1条件下,PCK1似乎通过一种与磷酸烯醇式丙酮酸羧激酶(PEPCK)活性无关的机制促进糖酵解,而在低pAKT-pPCK1条件下,主要支持糖异生。此外,研究人员评估主要糖酵解底物(葡萄糖、丙酮酸和乳酸)的抗铁死亡作用。结果表明,乳酸通过抑制pPCK1活性降低铁死亡敏感性,丙酮酸具有中等效果,而葡萄糖仅有微弱效果。补充L-乳酸钠(Nala)可恢复因pPCK1失活引起的铁死亡敏感性,而糖酵解抑制剂2-脱氧-D-葡萄糖(2-DG)则产生相反作用。
脂质合成的评估显示pPCK1显著增强脂质代谢过程。脂质组学分析表明,pPCK1促进多不饱和脂肪酸(PUFA)和饱和脂肪酸的生成,而单不饱和脂肪酸(MUFA)不受影响,导致PUFA与MUFA的比率升高。该比率为脂质过氧化提供更多底物,因此无法解释pPCK1的抗铁死亡作用。同时,pPCK1显著促进MVA及其下游产物辅酶Q10(CoQ10H2)和甲基萘醌-4(MK4)的合成,使用2-DG抑制糖酵解显著减少pPCK1介导的脂质合成以及MVA及其衍生物(CoQ10H2和MK4)的合成。无论是在体外(RSl3作为体外铁死亡诱导剂)还是在体内(IKE作为体内铁死亡诱导剂),补充Nala或甲羟戊酸锂盐(MVA-Li)均显著恢复pPCK1缺陷引起的铁死亡敏感性。

PCK1 Ser90磷酸化引起的促糖酵解效应与其抗铁死亡效应相关
研究人员利用 IP-MS,发现 PCK1WT 和 PCK1S90A 独有的蛋白质相互作用,尤其是与乳酸脱氢酶(LDHA)的相互作用。分析结果表明,T248 是 LDHA 上的一个重要磷酸化位点,pPCK1 通过直接结合 LDHA 并使其在 T248 处磷酸化来促进糖酵解,从而通过未知机制影响甾醇调节元件结合蛋白裂解激活蛋白-甾醇调节元件结合蛋白 (SCAP-SREBP)复合物的转运。该途径通过调节SCAP转运来激活MVA通路,但其调控SCAP转运至高尔基体的具体机制尚不明确。由于乳酸化连接糖酵解与生物过程,研究人员假设pPCK1-pLDHA轴可能通过乳酸化调控SCAP转运。使用赖氨酸乳酸化水平(pan-Klac)抗体进行IP检测,发现在HuCCT-1-WT和PCK1S90A HuCCT-1细胞中鉴定出乳酸化肽。IP-MS分析显示,WT细胞中K82位点的乳酸化SPRING肽富集,而在PCK1S90A细胞中未见富集。SPRING是一种新发现的蛋白质,通过促进SCAP从高尔基体向内质网的运动来调节肝脏SREBP信号传导并辅助脂质代谢,从而增加SCAP将SREBPs运输至高尔基体的可用性。TurboID-MS分析表明,与PCK1S90A细胞相比,WT细胞中SPRING与KAT7的亲和力更高。进一步分析表明,KAT7抑制减少了SPRING的乳酸化而不影响乙酰化,而LDHA抑制减少了KAT7-SPRING相互作用,而Nala的作用正好相反。KAT7抑制显著影响SCAP的高尔基体转运和SREBP2的核积累。

KAT7在SPRING的K82位点进行乳酸化对pPCK1-pLDHA轴及其抗铁死亡作用至关重要
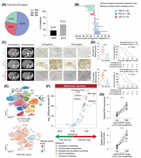
考虑到他汀类药物在抑制3-羟基-3-甲基戊二酰辅酶A还原酶(HMGCR)中的作用,该酶是MVA途径中的限速酶,研究人员评估辛伐他汀对pPCK1-pLDHA-SPRINGlac轴的影响。体内实验表明,单独使用PPB肽、辛伐他汀或CIT均不足以抑制ICC细胞生长,相反,将CIT与PPB肽或辛伐他汀联合使用显著抑制肿瘤生长、增加脂质过氧化并增强CD8+ T细胞浸润。接着,研究人员评估了PCK1磷酸化状态与接受CIT治疗的ICC患者预后结果之间的关联。对36例接受手术切除前CIT治疗的ICC患者(TJH-ICC-CIT队列)的组织样本进行分析,以确定pAKT-pPCK1水平的预后价值。观察到的客观缓解率为22.2%,疾病控制率为47.2%,与TOPAZ1研究中报告的缓解率(客观缓解率,26.7%;部分缓解,24.6%)一致。值得注意的是,pAKT和pPCK1水平升高是疾病进展患者的特征性表现,而部分缓解或疾病稳定的患者则表现为较低水平。生存分析进一步证实,AKT S473和PCK1 S90磷酸化水平降低的ICC患者从CIT方案中获益显著,突出了pAKT-pPCK1轴作为治疗疗效预测性生物标志物的潜力。

pPCK1在AKT过度激活的ICC患者接受CIT时的预后相关性
综上所述,本研究识别出pAKT-pPCK1-pLDHA-SPRINGlac轴作为AKT过度激活的ICC中铁死亡抵抗的新型驱动因素。研究结果确立pPCK1作为识别ICC患者治疗耐药风险的潜在生物标志物,并为通过靶向MVA通路(如他汀类药物治疗)改善临床预后提供了理论依据。
